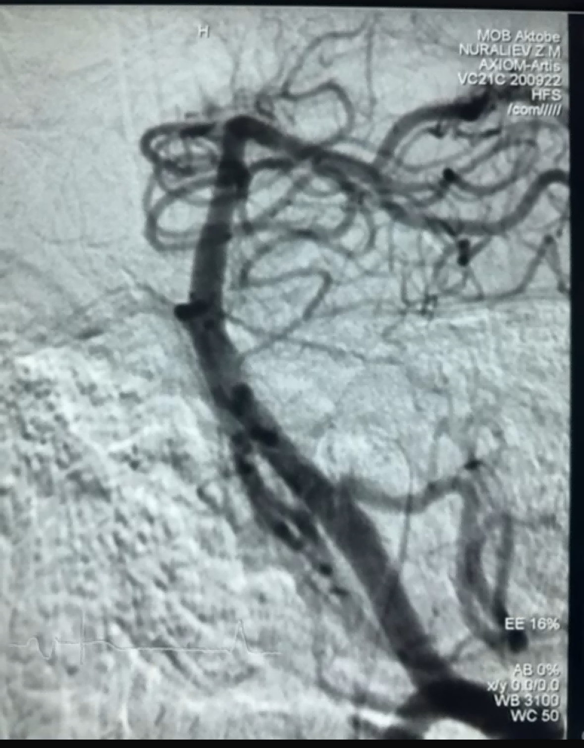
Baru-baru ini, ada kasus trombektomi yang berhasil menggunakan Dredger Stent Retriever dari NeuroSafe Medical Co., Ltd. Dredger Stent Retriever memiliki ujung lembut non-invasif, yang sangat mengurangi risiko kerusakan intima, dan memiliki desain lubang berbentuk khusus yang unik yang menangkap bekuan darah terutama dengan menjepit perubahan celah.





